Why Bardi?
왜 바르디치과를 선택해야 할까요?
Point 01
서울바르디치과는 자연치아를 아낍니다.
자연치아를 살리는 것을 진료의 중요한 가치로
삼고 있으며,
내 치아로 건강하게 유지하며
편안하게 식사하실 수 있도록
보존적인 치료를 지향하고 있습니다.
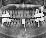
Point 02
서울바르디치과는 바른 진료를 지향합니다
풍부한 임상 경험과 숙련도를 갖춘 대표원장님이 3D 구강스캐너와
정밀 진단 장비의 데이터를 기반으로,
개인별 맞춤 디지털 가이드를 제작하여
식립을 진행합니다.
환자분께서 보다 튼튼하고 편안하게
사용하실 수 있는 결과를 위해,
서울바르디치과가 정성을 다해 집도하겠습니다.
Point 03
서울바르디치과는 이해하고 있습니다
혹시 치과를 생각하면 아픔이 떠오르시나요?
저희는 치료 과정에서 환자분이 느끼실 수 있는 부담감을
누구보다 깊이 이해하고 있습니다.
환자분을 향한 의료진의
진심 어린 배려와
섬세한 정성이 더해진다면,
진료 과정은 분명 이전보다 훨씬 더
편안해질 수 있다고 믿습니다.
서울바르디치과는 마취 가글액을 사용하여
통증 적은 진료를 지향합니다.
Point 04
서울바르디치과는 능숙합니다.
우리 아이 치아 건강 때문에 밤잠 설치며 걱정하셨나요?
치아가 제때 나오지 않거나 충치가 보여도,
치과를 무서워하는
아이를 억지로 데려갈 수 없어
애만 태우며 지켜보고 계셨는지요.
소아 치과 진료는 기술을 넘어, 아이의 마음을 읽고
공감하는 세심한 배려와 경험이 무엇보다 중요합니다.
서울바르디치과에서 우리 아이가 편안한 마음으로 진료를 마치고
밝게 웃으며 문을 나설 수 있도록,
온 정성을 다해 살피겠습니다.
Point 05
서울바르디치과는 섬세하고 정교합니다.
서울바르디치과에는 3D 구강스캐너를 비롯한
디지털 정밀 진단 장비가 준비되어 있습니다.
오차를 줄인 섬세하고 정교한 데이터 분석을 통해
마음까지 편안해지는 디지털 진료를 약속드립니다.
Point 06
서울바르디치과는 디지털 원내기공소에서
보철물을 직접 제작합니다.
환자분과 대표원장님 그리고 기공소장님이 대면하여
소통할 수 있고,
보철물에 대한 환자분의
섬세한 니즈까지 담아낼 수 있습니다.
모든 아날로그의 디지털화, 그에 따른
정교함은 저희가 잘하는 것입니다.
Point 07
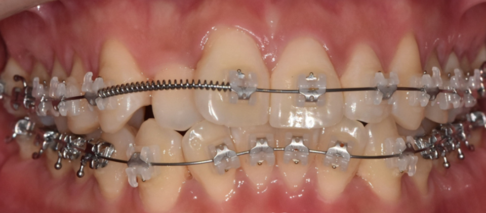
서울바르디치과는 가지런합니다.
티 나지 않는 섬세한 교정 치료를 위해
서울바르디치과에서는 인비절라인을 시행하고 있습니다.
편안함을 유지하며, 감추고 싶던 치아 고민이
자신감 넘치는 가지런함으로 변화할 수 있도록
서울바르디치과가 체계적인 진료로 함께하겠습니다.
Community
치과진료에 대한 바르게,
궁금증을 해결하는 치과
바르디가 전하는 다양한 소식과
치아 건강정보를 빠르게 만나보세요.
- 1
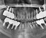
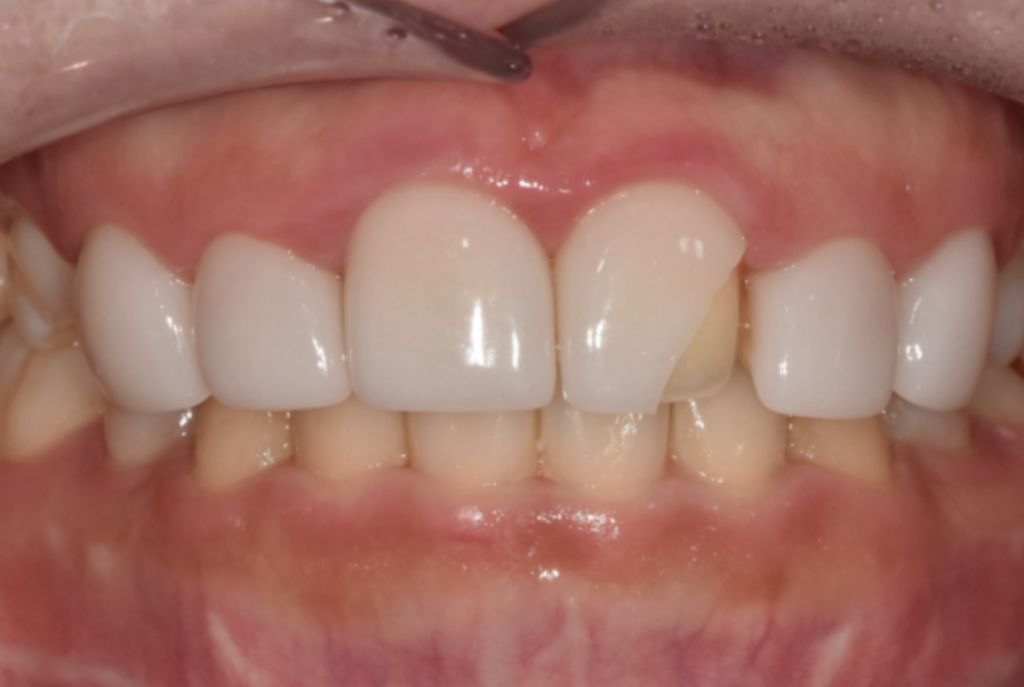
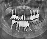
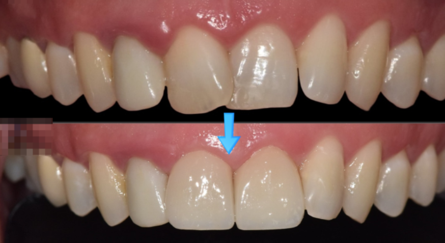
Before & After
본 컬럼은 56조 제 1항의 의료법을 준수하여
작성되었으며
실제 내원 환자분의 동의하에
공개된 치료과정의 사진이 포함되어 있습니다.
개인에 따라 진료 및 치료방법이 다르게
적용될 수 있으며,
효과와 부작용이 다르게
나타날수 있는점을 안내 드립니다.
결과가 곧 전문성의 차이
* 실제 본원에 내원하신 환자분들의 사진입니다
* 시술결과는 환자마다 다를 수 있으며,
정확한 상담 후 결정하시길 권장드립니다.
Bardi Dental lab
바르디만의 자신감
바르디치과 최첨단 기공소
-
01
정확하고 퀄리티 높은 보철물
의료진과 기공사의 면밀한 커뮤니케이션으로
보다 정확하고 정교한 보철물을 제작합니다. -
02
진료기간과 내원 횟수 감소
기존 불필요한 과정을 줄여
빠르게 완성되는 치료 프로세스를 제공합니다. -
03
편리하고 빠른 A/S
환자 개개인의 데이터를 바탕으로
보철물 수정 및 재제작 등 빠른 A/S가 가능합니다. -
04
전문 기공사 전담관리
체계적인 환자 맞춤 제작 시스템으로
제작 결과에 대한 책임 진료를 약속드립니다.
Digital Optimum
바르디치과 기공소
첨단 디지털 장비
Digital Equipment
바르디치과의 자신감!
바르디치과 최첨단 장비
대학병원급 장비로 더 정밀하게, 더 신속하게!
환자분들의 치아 건강을 위한
바르디치과만의 자신감입니다.
Digital Clean
안전한 치과 치료를 위한 바르디치과 클린 시스템
치과치료에 대해 바르디치과는
세심한 진료와 더불어 안전하고
깨끗한 소독시스템을 자랑합니다.
독일 MELAG사의 의료용 세척기 사용
한 번의 세션에서 1차 세척, 초음파 세척, 2차세척,
건조, 멸균 과정까지 진행합니다
→ 제로에 가까운 감염 예방이 가능합니다
독일 MELAG사의 오토클레이브 사용
1차 소독 후 오토클레이브 소독기를 활용하여
추가적인 소독 건조 후 완전 밀봉 보관합니다
→ 소독 후 건조 과정까지 안전하게 보관
FDA 인증 Plasmapp 플라즈마 소독기
60℃ 이하로 멸균하여 습기 및 고온에 손상없이
빠르게 멸균 공정을 완료합니다
→ 미국 FDA 인증과 유럽 CE 인증을 받은 검증한 기기
환자분의 소중한 건강을 최우선으로 생각하는 의료진
최신 기술과 장비 그리고
전문 의료진이 함께하는
바르디치과에서, 소중한 치아를 관리하세요
SEOUL BARDI Q & A
바르디는 정직하게 진료합니다.
임플란트 견적이 너무 높게 나올까 걱정돼요.
바르디는 발치부터 쳐다보지 않습니다.
살릴 수 있는 방법부터 고민합니다.
환자분께 진짜 필요한 진단을 가장 먼저 생각합니다.
진료 설명을 이해하기가 어려워요.
바르디는 치료에 대한 상담을 의료진이 직접 합니다.
어떤 상태인지, 어떤 치료가 필요한지
환자분과 충분히 소통하여 함께 결정합니다.
치료가 너무 복잡하거나 오래 걸리지는 않을까요?
바르디는 당일 발치와 즉시 식립이 가능한
디지털 시스템을 갖췄고, 발치와 3D 스캐너를
임플란트 식립까지 한 번에 가능한 시스템을 운영합니다.
뼈이식은 필수인가요?
아닙니다. 불필요한 뼈 이식과 수술비 부담이 커지기 때문에,
이식이 없어도 안전한 경우에 한해 임플란트로 진행합니다.
다만 안정성과 결과가 더 안전하다고 판단되는 경우에는
정밀 진단 시스템을 통해 뼈 이식을 진행하고 있습니다.
환자를 위한 바르디의 공간 바르디치과 둘러보기
모든 진료 기구는 멸균·포장 후 사용되며, 정기적인 소독과
감염 예방 관리로 안심할 수 있는 치료 환경을 제공합니다
| 평일 | 10:00 - 19:00 점심시간 13:00 - 14:00 | |
|---|---|---|
| 토요일 | 09:30 - 13:00 점심시간 없이 진료 | |
| 휴무 | 일요일, 공휴일 | |
가장 믿음직스러운 진료
서울바르디치과가 약속드립니다
네이버 지도
카카오 지도
T맵 지도



