커뮤니티

서울바르디치과가 전하는 다양한 소식과 올바른 치아 건강정보

충치치료 레진 비용, 왜 부위마다 다를까요?

카테고리 진료안내
작성일 2026-04-21 21:14
조회 3

안녕하세요, 서울바르디치과 대표원장 이주리입니다.

지난 시간 레진 재료를 이용해 앞니 공간을 메운 치료 사례를 소개해 드린 후, 정말 많은 분이 비용 문의를 주셨습니다. 인터넷을 조금만 검색해 봐도 “레진 하나에 얼마인가요?”라는 질문을 정말 많이 볼 수 있는데요.

오늘은 우리 환자분들의 궁금증을 시원하게 해결해 드리고자, 서울바르디치과의 충치치료 레진 비용을 투명하게 공개하겠습니다.

 

1. 레진, 왜 비용이 다를까요?

레진은 치과 치료의 가장 기본이 되는 재료입니다. 치아 색상과 유사해 심미적이고, 강도도 좋아 활용도가 매우 높죠. 하지만 ‘충치 1개 가격’이라고 딱 잘라 말하기 어려운 이유가 있습니다.

 

치료 부위가 어디인지, 충치의 범위가 얼마나 넓은지에 따라 소요되는 시간과 정교함(노동력)이 완전히 다르기 때문입니다. 저희가 비용을 책정할 때 고려하는 기준은 다음과 같습니다.

 

 

2. 서울바르디치과 충치치료 레진 수가표

부위별, 범위별 상세 비용은 다음과 같습니다

 

점상 충치: 5만원

치경부 마모증(치아 목 부분): 7만원

구치부(어금니) 씹는면 레진: 10만원

전치부(앞니) 충치 레진: 12만원

치아 벌어짐, 공간 떼움(1면 기준): 20만원

※ 정확한 치료 가능 여부와 비용은 구강 상태를 직접 확인한 후 상담을 통해 안내해 드립니다.

 

3. 비용 차이의 핵심은 ‘정교함’입니다


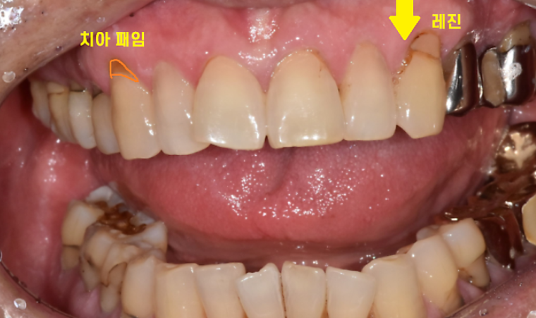
사진에서 보시는 것처럼 아주 작은 충치(점상 충치)는 상대적으로 간단하지만, 범위가 넓거나 앞니처럼 심미성을 크게 고려해야 하는 부위는 치료 시간이 2배 이상 걸리기도 합니다.

 

저희가 단순히 “비용 얼마입니다”라고 말씀드리기보다 내원을 권유드리는 이유는, 환자분마다 다른 치아 상태를 정확히 파악하고 꼭 필요한 진료만 하기 위함입니다.

4. 서울바르디치과의 정직한 약속


환자분들께서 치과에 대해 갖는 “비싸고 덤탱이 씌운다”는 편견, 저희도 잘 알고 있습니다. 그 편견을 깨기 위해 서울바르디치과는 과잉 진료 없이 정직하고 최소한의 진료를 시행합니다.

 

임플란트, 사랑니 발치, 충치 치료, 교정까지 한곳에서 믿고 진료받으실 수 있습니다. 직접 겪어보시고 판단해 주시길 부탁드립니다.

 

[서울바르디치과 진료 안내]

진료 예약: 02-481-4278

오시는 길: 서울특별시 강동구 고덕로 385 201호~204호

[네이버 지도 및 예약 바로가기 (클릭)]

 

치아 목 부분 마모증 레진 치료 전후 비교 사례