위아래 전체 임플란트 디지털을 사용하는 이유?
안녕하세요!
디지털 진료를 추구하는
서울바르디치과입니다.
저희 병원은 서울 바르디지털 치과라 불릴정도로
디지털 진료를 시행하고 있습니다.
임플란트 수술의 경우에도
적극적으로 활용하고 있는데요.
위아래 전체 임플란트 디지털을 사용하는 이유?
이가 망가져
다수의 임플란트 수술을 해야하는 경우
이 글을 꼭! 보고 결정해주셨으면 좋겠습니다.

위아래 전체 임플란트는
재건축 과정입니다.
환자분들께 쉽게 설명드리기 위하여
이렇게 표현해드리는데요.
일반적으로 1-2개 치아가 빠지고
바로 수술을 하면 모를까
다수의 치아가 손상된 채로
내원을 하시면
치료를 할 때 고려해야할 사항들이 많아집니다.

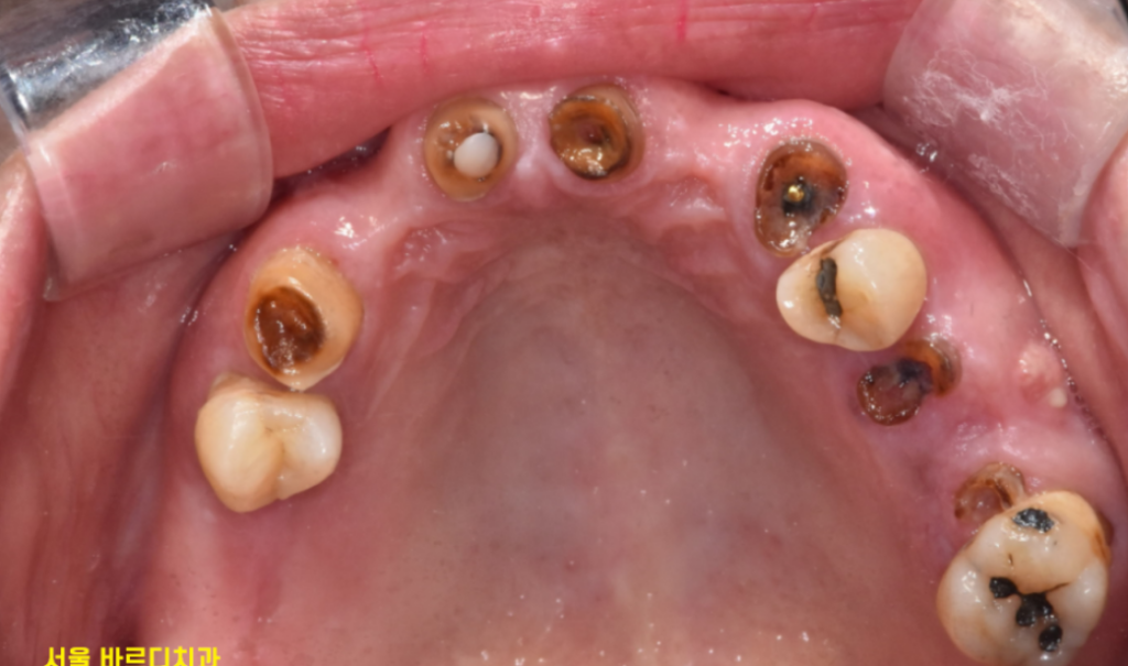
치과를 내원하셨던 환자분입니다.
위아래 어금니가 전반적으로 빠진 상황에서
내원하셨는데요.
이렇게 치료할 치아가 많은 환자분들의 경우
최적의 치료 방법을 찾기 위하여
복기합니다.

입안 사진 촬영한 것으로도
확인할 수 있지만

최신 디지털 기능을 적극 활용하는데요.
스캐너 기계를 사용하여
입안 그대로를 옮겨두는거죠~
사진은 평면적이라 입안 상태 재현에 한계가 있습니다.
침이나 이물질 등에 의하여
가려진 부분이 있을 수 있고요
스캐너의 경우
360도 요리조리 돌려보면서
어디 치아가 물리는지
확인이 가능하고
마모된 치아, 충치가 있는 치아까지
다 확인할 수가 있습니다.
재현도가 99% 비슷합니다.
거의 복붙수준이다 보니
위아래 전체 임플란트 환자분들의 경우
치과에서 “디지털” 기계를 적극 활용할 수밖에 없습니다.
첫번째 장점 , 구강내를 그대로 재현하여 분석이 가능하다.
디지털 기술을 위아래 전체 임플란트 할 때
임상에서 실제로 어떻게 사용하느냐?
치아 수술 모형을 제작합니다.
두번째 장점 , 실수를 줄여준다는 장점이 있습니다.
다수의 임플란트 수술 시 활용되는데
맨 처음에 부동산 재건축과 비슷하다
설명드렸죠?
안좋은 부분은 빼고
약한 땅은 튼튼하게 보강 후
기둥을 올리고
인테리어를 하는데요.
처음 기둥이 잘못되면
중간에 수정하기 아주 어렵습니다.
무엇이든 기초가 튼튼해야한다는 말입니다.
미리 모형을 제작하게 되면
구멍 그대로 임플란트를 식립할 수 있어
처음 계획한 깊이, 각도대로
오차없이 심을 수 있습니다.
위아래 전체 임플란트도
임플란트 각도, 깊이가 처음부터 잘 설계가 되어야합니다.
조금이라도 계획과 틀어지면
그 다음 단계가 어려워집니다.
임플란트 매 과정마다
고려해야할 요소들이 아주 많기 때문이죠.
세번째, 뽄을 뜰때 환자분이 편하다.

임플란트 완성될 때까지
디지털 기술이 활용되는데요.
기존 뽄을 뜨는 방식은
고무 인상체를 입안에 넣어
굳을 때까지 기다려야했습니다.
그러다보니 뺄때 쩌억.. 소리가 날 정도로
달라 붙습니다.
어떤 환자분들은 치아가 빠질것 같다 표현을 하시는데요.

이러한 단점을 보완하여
치아 1개를 뽄을 뜨더라도
디지털 기술을 활용합니다.
디지털 장비를 사용한 꼼꼼한 분석으로
오차없는 최신 의료기술을 적극 활용합니다.
위아래 전체 임플란트 시간, 비용
헛되게 하지 않으려면
분석적인 방법으로 고민하셔야합니다.
오늘은 전악 임플란트를 해야할 경우
디지털 기술을 활용해야하는 이유에 대해
말씀드렸습니다.
1) 입안 재현도가 99% 정확하다
2) 수술 시 실수를 줄여준다
3) 뽄 뜰때 편하다
수술 전 분석
수술 중간 정확성
수술 후 마무리까지
디지털기술을 적극 활용하는 서울 바르디치과입니다.
디지털 기술의 가장 큰 장점은
환자분이 편하다는 것입니다.
설계가 정확하면 시간도 최소로
불필요한 과정을 줄이게 되니까요.
저와 직접 만나 상담이 필요하시면
병원 예약 후 내원 부탁드리겠습니다.