치아 부러짐 붙일 수 있을까요??
안녕하세요 환자분들의 해결사
서울바르디치과 입니다!!
단단한 치아가 부러지는 경우를
주변에서 쉽게 볼 수 있습니다.
한국인들이 워낙 딱딱한 음식을 좋아하기도 하고
충치로 인해
외상으로 다양한 이유로 부러지는데요.
이때 환자분들이 치아는 못붙이나요?
이런 질문을 자주 해주십니다.
치과 치아 부러짐 붙일 수 있을까요??
붙일 수 있을지 없을지
이 글을 끝까지 읽어주세요!
궁금증 타파~ 해드릴게요!!
“치아가 부러졌어요“

오늘의 환자분 치아가 부러져서 병원을 내원해주셨습니다.
치과 처음 내원하셨을 때 찍어놓은 사진입니다.
치아 부러짐 부위 딱! 보이죠~?
생각보다 많이 부러졌네요~
그 외에도 전반적으로 이가 많이 닳아있고
어금니를 덧댄 흔적도 보입니다.

환자분께서는 붙일 수는 없냐고
물어보셨는데요.
오늘의 질문에 대한 정답
못붙입니다ㅠㅠ
치아는 강력 접착제를 사용해도
붙지 않습니다ㅠㅠ
깨진 접시를 붙여서 사용 못하듯
치아도 똑같아요
부러진 치아는 얼마나 부러졌느냐에 따라
치료 방향이 결정됩니다.
많이 남아 있을 경우는 살려서 사용할 수 있지만
부러진 부위가 너무 크면 뽑아야해요
오늘의 환자분은
한눈에 보기에도 뿌리만 남아있는 상태

부러진 부위가 머리 부분 대부분을 차지했습니다.
부러진 부분도 크고
신경치료도 되어있는 흔적이 보였습니다.
그동안의 경험을 보았을 때 살리기 어려워
발치하시는 것을 조심스레 말씀드렸는데요.

환자분께서 동의해 주셔서 임플란트 하는 쪽으로
설명을 드렸습니다.
치과에서 남아있는 치아를 발치
임플란트 치료를 하셨어요.
임플란트 진단을 위해 ct를 찍어보았는데
다른 치아도 뼈가 많이 녹은 것이 발견
환자분께 안 좋은 상황임을 안내해드렸습니다.
치료의 결정은 환자분이 하시지만
안좋은 부분은 알려 드려야죠~

부러진 치아 바로 옆에였는데요.
하셨던 아말감 충전된 상태도 안좋았지만
잇몸 뼈가 많이 녹으셨어요.

그렇다고 뽑기에는 아직 아쉽고
아까운 상태라
관리하면서 더 쓰시라고 말씀드렸습니다.
더 쓸 수 있는 치아는 더 사용하시도록
뽑는 것이 유리할 때에는 발치 후 임플란트 하시도록
있는 그대로 말씀드립니다.
진단도 ct로 놓치는 부분 없이
수술도 ct로 정확하게 진행합니다.
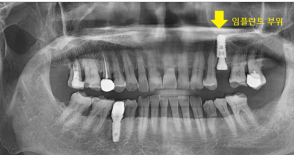
치아 부러짐 부위만 우선적으로 임플란트 수술하였습니다.

예쁘게 완성이 되었습니다.
환자분은 딱딱한 음식을 좋아하셔서
다른 치아도 많이 닳아져 있었는데
임플란트는 딱딱한 음식을 피해야합니다~
그렇기에 점검을 계속 하며
임플란트에 영향이 있는지 지켜보아야하는데요
딱딱한 음식
치아에 안좋은 습관을 안내해드리며
6개월 뒤에 만나뵙기로 하였습니다.
누룽지같이 딱딱한 음식 피하세요
오징어처럼 질긴 음식 피하세요
교육한 내용중 일부
다양한 원인으로 치아가 부러져
서울바르디치과를 방문해주시는데요
어떤 원인이던간에
환자분들의 환한 웃음
제가 되찾게 해드리겠습니다.