앞니 부러짐 손상이 커서 임플란트 치료
안녕하세요!
꼭 필요한 진료만 시행하는
서울바르디치과입니다.
치과에
앞니 부러짐으로 방문해 주셨는데요.
다른 사람에게
잘 보이는 부분이라 걱정이 많으셨습니다.
심미적인 게 중요한 앞니
치료를 어떻게 진행했는지
이 글을 끝까지 읽으시면 나옵니다.
앞니 부러짐 손상이 커서 치과에서
임플란트 치료
3분만 집중해서 읽어주세요.
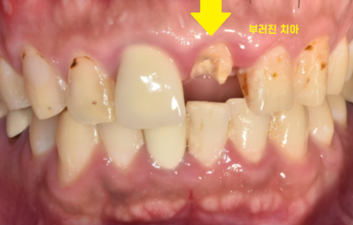
딱딱한 거 깨물다가
앞니가 부러졌어요.

헉
한눈에 봐도 치아가 많이 부러졌습니다.

안쪽에서 들여다보니
신경치료때 사용한 재료가 다 보일 정도로
부러졌습니다.

작은 x-ray로 한 번 더 확인해 보았습니다.
2/3 이상 머리가 없어졌네요..
앞니 부러짐 치료의 방향을 결정할 때에는
남아있는 치아의 양이 중요합니다.
살릴 수 있을지 없을지
예후를 결정하는
key point이죠!!
잇몸뼈에 뿌리만 박혀있는 수준이라
발치 후 임플란트 계획을
잡아드렸습니다.
3d-ct를 사용하여
잔존 뼈를 확인
임플란트 깊이, 두께, 식립 각도 등을 예측
디지털 진료를 활용하여
안전하게 수술을 마무리하였습니다.
이렇게 치료가 잘 진행될 줄 알았습니다.
이때 변수가 발생했습니다.
임플란트 치유 기간 중 환자분께
걸려온 전화
딱딱한 거 먹다가 치료받는 치아 옆에
앞니가 또 부러졌어요
아뿔싸…
부디 아무 일 아니어야 할 텐데..
서둘러 환자분을 보았습니다.

이런 이런
치료 받는 옆에 치아가 똑.. 부러져버렸네요

치아 1개가 또 부러졌네요.
잇몸 뼈 안쪽으로 뿌리만 남아있는 상황입니다.
남아있는 치아가 충치도 있고
부러진 양도 많고
상태가 영… 안좋네요ㅠㅠ
결국 옆에 치아도 발치를 진행했습니다.
발치 후 임플란트를 하였는데요.

임플란트 치료 후 사진입니다.
변수가 발생하여
당초 계획된 것보다 치료기간이 길어지긴 하였지만
잘 마무리가 되었습니다.
임플란트 예후를 위해서
환자분께 교육을 해드렸습니다.
딱딱하고 단단한 음식은
줄이기로 약속 또 약속을 하고
치료를 마무리 지었습니다.
디지털 장비를 사용한 꼼꼼한 분석으로
당일 임플란트가 가능한 서울 바르디 치과!
5호선 상일동역에 치과가 위치합니다.
오늘은 앞니 부러짐으로
치과 환자분의 케이스를 소개해 드렸습니다.
딱딱한 음식을 즐겨 드시면
턱에도 좋지 않지만
치아에도 좋지 않습니다.
특히나 신경치료가 되어있는 치아의 경우
딱딱한 음식을 조심하셔야 하는데요.
자극이 계속되다가는
오늘 환자분처럼 앞니 부러짐
발생할 수 있기 때문이죠ㅠㅠ
부러진 양에 따라
치료 방향이 달라집니다.
정확한 것은 검사를 해봐야
살릴 수 있을지
뽑아야 할지 말씀드릴 수 있습니다.
예약 후 방문해 주시면 감사하겠습니다.