치과에서 알려드리는 임플란트 수술과정 대공개
안녕하세요 정직하고 바른 진료를 시행하는
서울바르디치과 입니다!!
오늘은 어떤 글을 적을까 고민하다가
수술이 끝나고 자주 듣는 질문 중에 추려보았습니다.
“원장님 임플란트가 안 보여요!”
혹은 “머리가 없는데요..?“
“심은 거 맞나요?“를 참 자주 듣습니다.
임플란트 수술을 경험해 보시는 분들은
잘 알고 계시지만
처음 해보시는 분들은 뭐가 뭔지 모르실겁니다.
오늘 글은 임플란트를 처음 식립 하시는 분들께
도움이 될만한 콘텐츠를 준비했습니다.
상일동역 치과에서 알려드리는 임플란트 수술과정 대공개
3분만 집중해서 읽어주세요.

제일 먼저 임플란트 수술 과정을 알려면
이게 무엇인지부터 알아야겠죠?
임플란트란?
충치, 풍치, 치아 금, 외상 등
다양한 이유로 치아를 뽑아야할 때가 있습니다.

이럴 때, 상실된 치아를 대체하는 것을
임플란트라고 합니다.
치아 뿌리 부분에 해당하는데요.
그래서 임플란트를 심어도
머리부분이 보이지 않는 것이
뼈 안에 심으니까요~~
임플란트 수술과정

상일동역 치과 수술 직후의 사진입니다.
사진을 보시면 나사가 하나 들어간 것을
확인하실 수 있는데요.
“머리는 언제 올라가요~?”
임플란트는 골 유착,
그러니까 내 뼈와 잘 붙는 기간이 필요합니다.
뼈 안에 심어두기만 한 것이지
뼈와 붙은건 아니거든요~

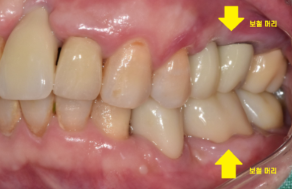
환자분이 생각하시는 머리는 이런 형태이실겁니다.
무언가를 씹을 수 있는..
충분히 뼈와 붙지 않은 상태에서 힘을 받게 되면
임플란트가 실패하게 됩니다.
심어두었던 나사가 빠질 수 있어요.

때문에 임플란트 수술을 하고 나면
머리 대신에 작은 나사만 연결해둡니다.
뼈가 거의 없는 경우에는
임플란트를 잇몸 안에 묻어두기도 하는데요.
이럴 경우에는 잇몸밖에 안느껴지기 때문에
임플란트 심은게 맞나.. 싶기도 합니다.

겉으로 봤을 때는 잇몸만 느껴지지만
x-ray를 보실까요~?

임플란트가 잘 심어져있습니다.
이럴 경우 잇몸 밖으로 나사를 연결하는
2차 수술을 진행해야 하는데..
2차 수술에 대한 내용은
위에 글 참고해주세요!!
수술까지 완료되었다면
다음 과정으로는 내 뼈와 임플란트가 잘 붙기를
기다려 주어야 합니다.
상악 치아는 평균적으로 4-6개월
하악은 2-3개월 후에 진행하는데요.
시간이 흘러 기계로 얼마나 내 뼈와 잘 붙었는지 수치를 측정하고
이제 잘 붙었다면 뽄을 떠주는 단계입니다.
수치가 약하다면 조금 더 기다려주기도 해요~
뽄을 뜨는 것은 머리 부분에 해당하는
씹을 수 있는 무언가를 만들어주기 위해서입니다.
디지털 장비를 사용해
이 모든 과정을 진행합니다.
때문에 구강 내를 그대로 재현해 주고
오차 없이 보철물 제작이 가능합니다.
모든 과정이 디지털이기에
보철물이 들어갈 모습을 예측 할수도 있답니다.

보철 제작을 완료하면
구강 내에 접착을 시행합니다.
이제 씹기도 하고 양치도 가능하며
내 치아처럼 사용이 가능합니다!!
오늘은 임플란트 수술 과정을 설명드렸는데요.
생각 같아서는 수술 후 바로 씹을 수 있을 것 같지만
무엇이든 시간이 필요한 법입니다.
상악 치아는 4-6개월,
하악 치아는 2-3개월 이것은 어디까지나 평균입니다.
완성되는 기간은 환자분 구강상태에 따라
달라질 수 있다는 점
참고 부탁드려요~!
어떤 이유에서라도 내 치아를 상실한 것은 참으로 속상한데요.
빨리 식사하시고 싶으신 마음 잘 알고 있습니다.
그렇지만 시간이 걸리더라도
제대로 치료하는 것
서울 바르디 치과의 철칙입니다.
급하게 치료하지 않고
한 분 한 분 제대로 진료를 시행하다 보니
진료 예약은 필수입니다!
오시기 전 전화 한통 꼭! 해주세요~~