커뮤니티

서울바르디치과가 전하는 다양한 소식과 올바른 치아 건강정보

앞니 라미네이트 교체 및 재시술, 실패를 줄이는 핵심 체크리스트

카테고리 -
작성일 2026-03-16 15:42
조회 41

안녕하세요. 앞니 라미네이트 재시술

앞니 라미네이트 교체를 중점적으로 진료하는 서울바르디치과 원장입니다.

식사를 하다가 앞니 라미네이트가 깨지거나 툭 떨어지면 정말 당황스러우실 거예요.

중요한 약속을 앞두고 있거나 사람을 계속 만나야 하는 상황이라면 더욱 막막하실 텐데요.

“다시 큰돈을 들여 치료해도 또 깨지면 어쩌나” 하는 걱정스러운 마음, 충분히 이해합니다.

오늘은 앞니 라미네이트 재시술이 필요한 이유와 실제 사례를 통해,

실패 없는 앞니 라미네이트 교체 방법을 알기 쉽게 설명해 드리겠습니다.


1. 앞니 라미네이트 재시술 및 교체가 필요한 이유

라미네이트를 다시 해야 하는 가장 흔한 이유는 보철물이 깨지거나

툭 하고 떨어지는 경우입니다. 도자기 재질이라 심미적으로는 우수하지만,

갑작스러운 충격을 받거나 씹는 힘이 한곳으로 쏠리면 생각보다 잘 깨질 수 있기 때문입니다.

또한, 시간이 지나면서 잇몸이 내려가 치아 경계선이 보기 싫게 드러나거나,

보철물 안쪽으로 미세한 충치가 생겼을 때도 치아 건강을 위해 앞니 라미네이트 교체를 결정하게 됩니다.

2. 실패 없는 앞니 라미네이트 교체, ‘자연스러움’이 핵심

앞니 라미네이트 재시술을 앞두고 환자분들이 가장 많이 걱정하시는 점은 바로 ‘어색함’입니다.

새로 만든 치아 하나만 너무 하얗게 튀어 보이거나, 모양이 투박해서 가짜 티가 날까 봐 망설여지시죠?

우리 치아는 단순히 한 가지의 하얀색이 아닙니다.

사람마다 고유한 투명도가 다르고 빛이 투과되는 정도도 모두 제각각입니다.

그래서 저희 서울바르디치과는 원내 기공소의 역할을 무엇보다 중요하게 생각합니다.

보통 외부 업체에 제작을 맡기면 사진만으로 소통해야 하기에

미세한 색감 차이가 생길 수밖에 없지만,

저희는 치과 의사인 제가 기공사와 함께 환자분 옆에서 실시간으로 직접 소통하며 작업합니다.

덕분에 옆 치아가 가진 미세한 굴곡과 투명한 질감까지 세밀하게 담아낼 수 있어,

재시술 후에도 “내 치아 같다”는 만족도를 드리고 있습니다.

3. 사례로 보는 앞니 라미네이트 재시술 과정

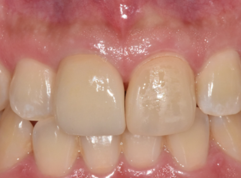
Case 1. 외부 충격으로 인한 라미네이트 파절

최근 다른 치과에서 하신 라미네이트가 깨져서 저희를 찾아주신 분이 계셨습니다.

위아래 앞니가 닿지 않는 개방교합이라 평소에는 깨질 확률이 낮았으나,

식사 중 쇠젓가락을 앞니로 강하게 부딪치는 사고가 원인이었습니다.

주변 치아들이 이미 라미네이트 상태라 새로 만드는 치아만 튀어 보일까 봐 무척 불안해하셨는데요.

주변 치아의 투명도와 결을 정밀하게 분석하여 사고 전 모습처럼

자연스럽게 앞니 라미네이트 교체를 완료해 드렸습니다.

Case 2. 유지력 부족으로 인한 보철물 탈락

오른쪽 앞니 라미네이트가 통째로 떨어져 내원하신 사례입니다.

이 경우 치아 삭제를 최소화하는 것도 좋지만, 보철물을 붙잡아줄

최소한의 면적이 확보되지 않으면 결국 유지력이 떨어져 쉽게 탈락하게 됩니다.

저희는 단순히 다시 붙이는 임시방편 대신,

치아 형태를 미세하게 보강하여 접착 면적을 충분히 넓힌 뒤 새 보철물을 제작해 드렸습니다.

현재는 아주 튼튼하게 잘 사용하고 계십니다.


4. 앞니 라미네이트 재시술을 고민 중이신분들께

라미네이트가 깨지거나 갑자기 떨어지면 당장 눈에 보이는 모습

때문에 마음이 급해지기 마련입니다. 하지만 같은 실수를 반복하지 않으려면

왜 이런 일이 생겼는지 정확한 원인을 찾고 그에 맞는 해결책을 제시하는 곳을 선택해야 합니다.

지금 앞니 라미네이트 교체가 필요하거나 현재 상태가 불안하시다면

혼자 고민하지 마시고 언제든 편안하게 상담해 주세요.

환자분께 가장 적합하고 안정적인 방법을 함께 찾아드리겠습니다.

감사합니다.

네이버 예약 :: 서울바르디치과의원

앞니 라미네이트 재시술