치아미백 가격, 횟수 궁금하신 부분 싹 정리했습니다.
안녕하세요!
환자분들의 아름다움을
되찾아드리고 싶습니다.
서울바르디치과 이주리입니다ㅎㅎ
여성분들의 영원한 과제
예뻐지고 싶다… !
오늘 남들은 잘 모르는데
왜이렇게 예뻐졌냐 얘기 들을 수 있는
“치아 미백”과 관련된 글입니다.
한듯 안한듯 예뻐질 수 있는
상일동 치아미백 가격, 횟수 궁금하신 부분 싹 정리했습니다♥

치아가 하얗게 변한 것만으로도
자기만족이 가능하다!!
어떤 분이든 하루에 한번씩은 거울로
확인하게 되는 나의 치아
양치하면서 될 수도 있고
식당에서 밥먹고 확인할 수도 있습니다.
여성분들이라면 공감하실텐데요.
뭐했는지 잘 모르겠지만
티안나게 예뻐지는 것들 있잖아요~
예를들어 제모, 속눈썹펌
저는 여기에 치아 미백까지 말씀드리고 있습니다.

이가 노란거 같아요
스케일링 받으면 하얗게 될 수 있을까요??
질문해주신 환자분입니다.
이전 글에서 언급해드렸지만
스케일링은 치석을 제거하는 것으로
노란 치아를 하얗게 만들어주지는 못합니다.
머리 자르는 것과 비슷한데요~
자르는 것만으로는 머리 색깔이 밝아지지는 않죠~?
염색을 해야지 색깔이 밝아지니까요~!
스케일링 만으로는 치아가 밝아지지 않는다.
비유드리면서
상일동 치아 미백을 해야지
하얗게 변할 수 있다 말씀드렸습니다.

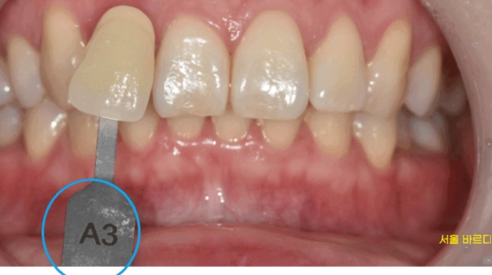
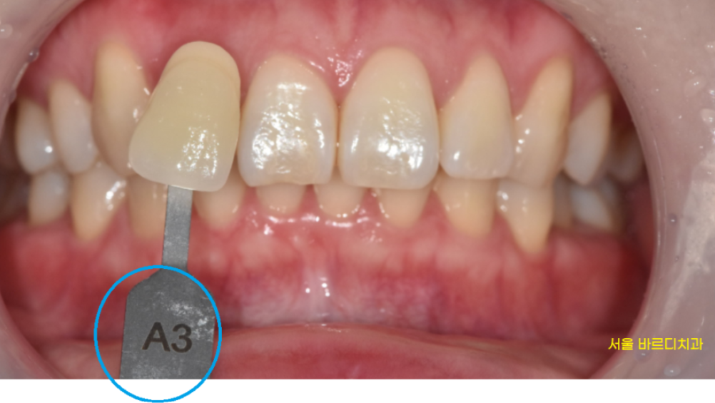
지금 치아 색깔은 A3셨는데요.
한국인 표준 정도입니다.
노랗게 느끼시는 이유가 있으실까요~?
여쭤봤습니다.
알고보니 환자분 피부 색깔이 하얀 편이셔서
치아가 유독 노랗게 느껴지셨다해요.
환자분 고민을 듣고 가만히 있을 수 없죠~?
상일동 치아미백 가격,
횟수는 얼마나 오셔야하는지
미백 후 지켜주셔야할 주의사항
한계점 모두 설명드렸습니다.
결과 공개합니다.
집중해주세요~!!

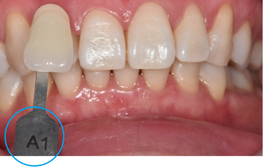
상일동 치아미백 2회 진행 후 사진입니다.
당일 시간 차이를 두고 진행하였습니다.
보시면 A1이라 적혀있는데요.
치아 색깔 숫자가 작을수록 밝은겁니다.
비교한번 해볼까요~?

상일동 치아미백 가격은 2회 기준 30만원입니다.
환자분께서 치료에 동의 해주셔서
미백 횟수
당일 2회에 걸쳐서 진행해드렸습니다.
1회 미백이 끝나고 A3 -> A2로
2회 최종 미백을 하고 A2 -> A1까지 나왔습니다.
치아 색깔이 두단계가 밝아진거죠~!
치료가 끝나고 거울을 보여드렸는데
활짝 웃으시더라고요.
만족시켜드리기 성공!!
환자분의 아름다운 미소를
만들어드리는 상일동 치과 서울바르디치과입니다.
심미 보철, 라미네이트, 치아 교정,
미백 치료까지
환자분들의 미소를 되찾아 드릴께요~!