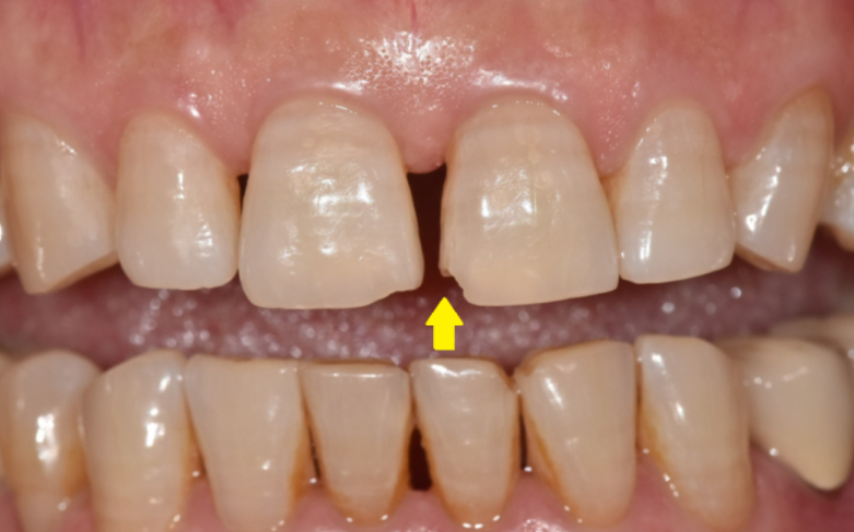
깨지고 벌어진 앞니 사이 레진으로 공간 재분배하였습니다.
환자분들의 미소를 책임져드리는
서울바르디치과 대표원장 이주리입니다.
치아 사이 밥풀 끼는 것좀 해결해주세요
오늘 소개해드릴 환자분도 70대 여성으로
벌어진것이 흉해보이기도 하지만
틈새 사이로 자꾸 밥풀이 들어가
밥먹는 것이 스트레스라고 하셨는데요.
남들 보는 앞에서 이쑤시개를 쓸 수도 없고
민망하다 하셨어요.
오늘은 치아가 왜 벌어지는지?
레진으로 치아 공간을 재분배해드린 이야기를 해드리겠습니다.

<목차>
| 치아가 벌어지는 이유는? |
| 2. 벌어진 앞니 레진 치료 과정 |
앞니에 대한 환자분들의 관심도는
남녀불문
연령 상관없이 계속됩니다.
그만큼 남들에게 보여지는 것이 중요한
한국인인데요.
벌어진 앞니로 미관상 스트레스
기능적으로도 불편을 겪으신 오늘의 환자분

치아 사이에 자꾸 밥알이 들어가 죽겠다고
떼워달라 하셨는데요.
자세히 보니 귀퉁이가 살짝 깨지기도 하였네요~
치아가 벌어지는 이유는?
앞니 사이가 벌어지는 증상을 Diastema라고 부릅니다.
안좋은 악습관에 의해 생기기도 하고
나이가 들면서 잇몸이 안좋아지면
잇몸뼈가 흡수되고 치아를 잡아주는 힘이 약해져
치아가 벌어질 수 있습니다.
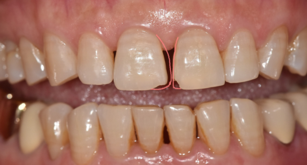
간혹 입술을 들추면 보이는 상순소대
(윗 입술과 잇몸을 잇는 부분)
이 부분이 치아 사이로 내려오면
앞니를 밀면서 벌어지게 할 수 있습니다.
사진처럼 말이죠.
어쨌든 앞니가 벌어져 있으면
자꾸 음식물이 끼어 잇몸이 더 붓기도 하고
바람이 관통되어 발음 역시 좋지 못하게됩니다.
벌어진 앞니 레진 치료 과정
앞니 사이 공간을 메꾸는데는
크게 3가지입니다.
1.레진
2. 보철치료 (라미네이트, 크라운)
3. 교정
환자분은 고령이셔서 치아 교정은 적합하지 않았고
보철치료를 하기에는 벌어진 양이 많지 않아
레진으로 치아 사이 공간을 재분배하기로 결정하였습니다.

이런 형태가 되겠네요.
레진 치료의 장점은
당일에 완료된다.
비용이 다른 치료에 비해 저렴하다
2가지가 되겠습니다.

또한 심미적이라는 장점도 있습니다.
환자분이 가진 고유의 치아색깔을 살려
인위적이지 않게 말이죠.
치아 삭제도 거의 없어
손상이 적습니다.
(레진을 덧대고 다듬는 정도입니다!)

레진으로 앞니 사이 간격을 메우고
깨진 부위도 함께 보수했습니다.
시간은 30분 정도 소요되었습니다.
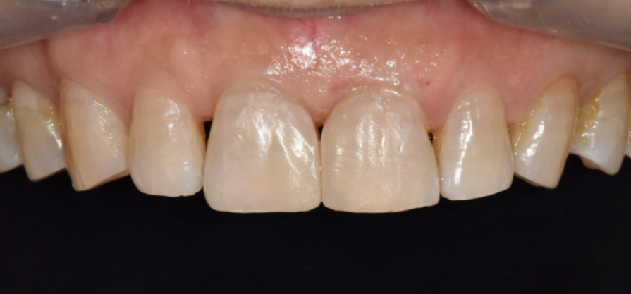
공간이 메워지다보니
앞으로 음식물 끼임은 덜해지실 것으로 보여집니다.
공간도 메꾸고 깨진 부분도 복원하여
훨씬 자연스러운 미소를 가지게 되셨는데요.
앞니가 벌어지면
웃을 때 자꾸 손으로 가리게 되고
이는 자신감 저하로 이어질 수 있습니다.
벌어진 부분이 넓으면 레진으로 떼우는 것은
한계가 있을 수 있습니다.
쉽게 떨어지고
치아가 너무 커져 오히려 심미적이지 못합니다.
환자분 경우에 따라
치료 방향은 달라지기 때문에
치료 전 충분한 상담
각 진료별 장단점을 알아두시길 바랍니다.
