왜소치 라미네이트 작은 치아 콤플렉스 말끔하게 극복해요!!
안녕하세요!
서울바르디치과 이주리 대표원장입니다.

“원장님 치아 1개가 작아요ㅠㅠ
너무 신경쓰여요”
치아 크기가 너무 작아도
형태가 이상해도
주변 치아와 대비되면서 스트레스를 받아하실 수 있는데요.
거울을 볼 때마다 눈에 거슬리는 작은 치아
교정을 하지 않고
치아 삭제량을 최소화하면서
해결하는 방법이 있어 준비해보았습니다.
왜소치 라미네이트 작은 치아 콤플렉스 말끔하게 극복해요!!

왜소치 작은 치아

몸집이 왜소하신 분들이 있듯
치아 크기가 작은 것을
왜소치라 표현합니다.
선천적으로 치아의 크기가 작게 자라거나,
성인의 치아 크기가 평균보다 작은 경우에 발생합니다.
이런 경우, 웃을 때 자신감이 떨어지고,
치아가 작아 보이는 것이 콤플렉스가 되기도 하는데요.
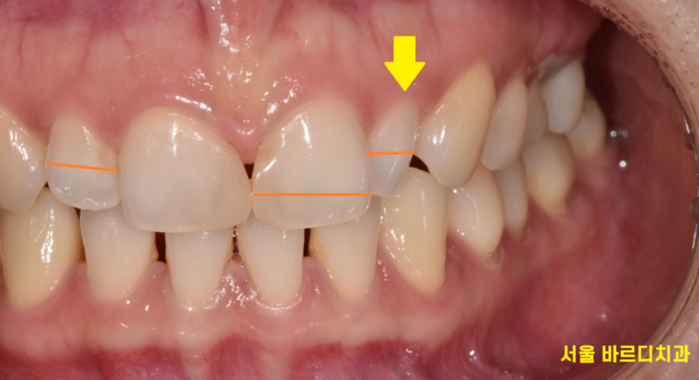
환자분은 바로 옆 대문니가 크다 보니
치아가 각도상 비틀어져 있어서
유독 작게 보이네요.
반대편 같은 치아의 경우 각도는 제대로 되었지만
이 역시 왜소치에 속합니다.

x-ray를 보니 송곳니 ,
맨 앞 대문니에 비해 크기가 작은게 눈에 보이실겁니다.
이러다보니 작은 치아 콤플렉스가 있으셨다고 합니다ㅠㅠ
다른 부위도 아닌 앞니라
사람들에게 잘 보일 수 있는 부분이니까요~
이럴 경우 최적의 해결방법은??
왜소치 라미네이트
가수 아이유님도 왜소치로 인하여 라미네이트를 하셨더라고요~
치료 기간이 짧고 간단하기 때문에
연예인 분들이 많이 치료를 진행합니다.
라미네이트란 얇은 세라믹 층을 치아 표면에 부착하여
원하는 치아 크기와 형태를 구현할 수 있는 치료 방법입니다.
치아가 시리지 않을정도로만 삭제하여
치아의 크기를 재분배 해주는거죠~

너무 큰 치아는 사이즈를 줄여주고
왜소치 같은 경우 크기를 키워주고
원하는 크기만큼 보철을 만들어주어
기존 치아 위에 붙여 덮어주는 방식으로
왜소치 라미네이트가 치아에 안좋을 것이라
생각하시는 분들은
얼마전 크라운과 교정 치료와 라미네이트를
비교한 적이 있습니다.
왜소치 라미네이트가 좋은 선택일까?

첫번째, 라미네이트는 비교적 간단한 시술로, 치아를 크게 갈아내지 않고도 원하는 결과를 얻을 수 있습니다.

왜소치 라미네이트 제작을 위해
치아를 삭제한 사진입니다.
아래 치아는 건들이지 않은 자연치
윗니의 경우 치아를 삭제했는데
두께가 크게 달라지지 않은 것을 보실 수 있을겁니다.
(최소한만 삭제하여 치아를 아껴줍니다!!)
두번째, 치아 교정과 달리 치료 기간이 짧습니다.
세번째, 치아 크기와 모양이 조화로워지기 때문에 웃을 때 자연스러워요!!
(전체적으로 균형 잡힌 치열이 가능하죠!)
네번째, 딱딱한 음식만 안드신다면 라미네이트는 오랜 시간 유지됩니다.
라미네이트는 얇지만 내구성이 좋고,
자연스러운 색상과 광택을 유지할 수 있어, 본래 치아처럼 보이는 장점이 있습니다.

어떤게 라미네이트일까요~??
감쪽같죠~??

보철이라 해서 티가 나면 안됩니다.
어떤것이 라미네이트 치아인지 감쪽같게
만들어 드리는게 기술력이죠!!!
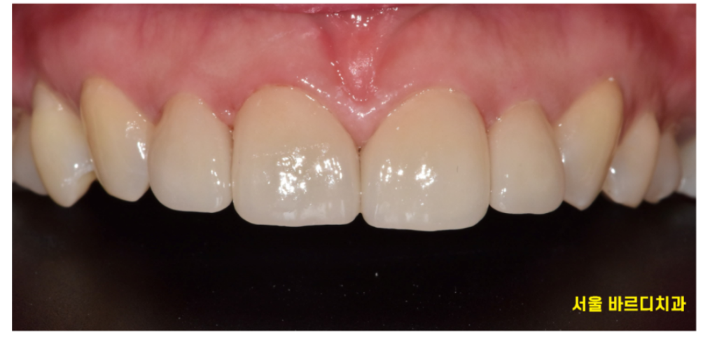
작은 치아로 고민하시던 환자분은
앞니 4개 치아 사이즈를 재분배하여
컴플렉스 극복시켜 드렸습니다.

강남 언니에서 찾은 환자분 찐 후기ㅠㅠㅠㅠㅠ 정말 감사해요~!!
결론
왜소치로 인한 외모 콤플렉스는 라미네이트 시술로 해결할 수 있습니다.
작은 치아를 크고 자연스럽게 만들어 줌으로써, 더욱 자신감 있는 미소 ^_^
환자분 상황에 따라 더 적합한 치료는 달라집니다.
교합이 너무 긴밀하거나
딱딱한 음식을 좋아하시는데
왜소치 라미네이트를 추천드릴 수는 없거든요~
작은 치아 컴플렉스 해결 라미네이트로 가능한지는
직접 얼굴을 뵙고 설명 다시 드릴께요~!!
현장에서 만나용!!!