왜소치 교정 치아의 균형과 배열을 바로잡을 수 있습니다.
안녕하세요
서울바르디치과 이주리 대표원장입니다.
예전에 치아 크기가 작아서
라미네이트 한 케이스를 소개해드린적이 있습니다.
생각보다 특정 치아 사이즈가 작은 것을
주변에서 많이 볼 수 있는데요.
교정을 하고 싶다는 분들이
많이 있어 이번 글을 작성하게 되었습니다.
왜소치 교정으로 해결 가능할까요?
<목차>
| 1.왜소치란 ? |
| 2.치아 교정 순서는? |
왜소치 교정은 사이즈를 키울 수 없습니다.
왜소치는 몸집이 왜소하듯
치아 크기 자체가 작은 치아를 뜻합니다.

유전적 원인도 있고
발육 과정에서 영양 부족일 수도 있고요.
앞니가 왜소치인 경우가 많은데요.
키가 작은 아이들을 성장판 주사 등으로
키를 키울 수 있어서 그런지
치아 교정으로 치아 사이즈를 키울 수 있다고 생각하시더라고요.
치아 크기 자체가 작은 경우
단순히 교정으로는 해결되지 않습니다.
교정은 치아의 위치를 바로잡는 치료이고,
치아의 크기를 키울 수는 없기 때문입니다.

크기를 키우기 위해서는 레진으로 덧대거나
라미네이트, 크라운과 같은 보철로 조절할 수 밖에 없죠.
치아 교정은 배열을 바로잡는 것이에요!
왜소치 치아가 있을 때 교정 순서는?
단순히 특정 치아 크기만 작으면
보철 치료로 할 수 있지만
치아 배열까지 문제가 있으면
교정으로 배열을 완성한 뒤
보철 치료를 통해 치아 크기를 맞춰야합니다.

이 순서로 진행하는 것이
가장 자연스럽고 만족스러운 결과를 얻을 수 있습니다.
라미네이트를 먼저 할 수도 있지만
예전에 언급해드렸다 싶이
보철물에는 치아 교정기가 잘 안붙습니다.
붙여도 쉽게 떨어지죠~

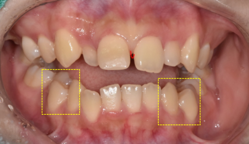
오늘 환자분도 왜소치로 내원을 해주셨는데
치아 배열이 전체적으로 교정이 필요했습니다.
교정과 보철 치료
각각 역할 분담이 필요한데요.
교정을 통해 전체 치열을 가지런하게 정리하여
보철 치료가 들어갈 수 있는 기초 작업을 완성해야합니다.
교정으로 공간이 만들어지면
그때 왜소치 크기를 정상치와 비슷하게 맞추어 줍니다.
필요하다면 보철 이후에도
미세하게
앞니 라인을 조정해주는게 필요할 수 있습니다.

땅을 고르고 울타리를 맞추는 교정
건물을 세우는 보철
때로는 둘이 함께해야
결과물이 완성될 수 있습니다.
교정만 했을 때는
여전히 옆니가 작아 아쉬울 수 있지만
보철까지 하면 완전히 달라져 보일 수 있습니다.
작아 보이는 치아 하나가
전체 인상에 큰 차이를 만듭니다.
교정과 보철을 연계한 맞춤 치료가 필요하시다면
언제든지 연락 부탁드립니다.