벌어진 앞니 치아 교정 통해 공간 닫기 장점이 많습니다.
안녕하세요
서울바르디치과 대표원장 이주리입니다.
치아 사이 벌어진거
메꿀 수 있는 방법 없나요??
치아끼리 겹쳐있어도 문제가 되지만
사이 공간이 너무 넓을 때에도
많은 분들이 신경을 쓰십니다.
거울을 볼 때마다 틈부터 보이고
입을 자꾸 가리게 되는데요.
최근 저희 병원을 방문해주신 환자분은
제 앞니가 너무 쪽팔려요... 라고 표현하시더라고요.
치아 사이를 메우는 방법은 여러가지이지만
오늘은 교정을 통한 해결방법을 알려드리겠습니다!

<목차>
| 벌어진 치아 교정으로 치료 했을 때 장점 |
| 2. 교정 방법 종류는?? |

레진, 라미네이트, 크라운보다 교정 치료를 했을 때의 장점
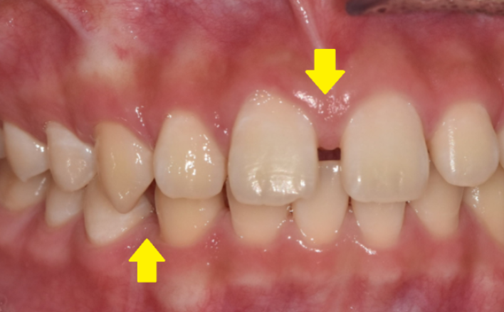
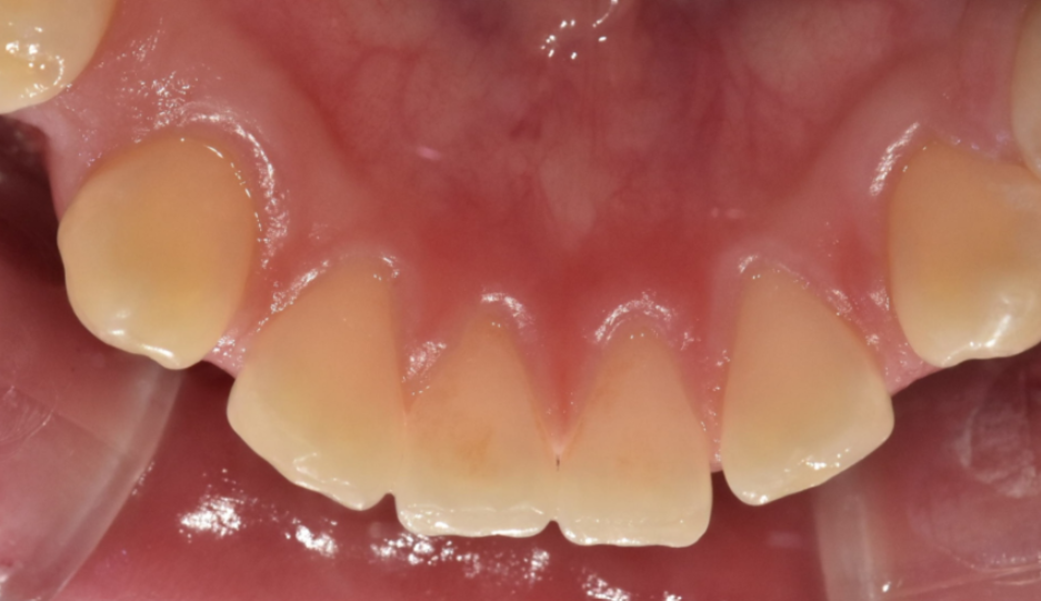
가운데 치아가 눈에 띄게 벌어져있는 환자분
앞니끼리 벌어진 공간이 좁을 경우는
레진이라던가
라미네이트, 크라운과 같은 보철로도 메울 수가 있습니다.
대신 메운 공간만큼 치아 사이즈가 커지는 단점이 있겠죠.
교정으로 공간 닫기를 시도하는 건
근본적 해결법이 될 수 있는데요.
다른 치료법보다… 시간적으로는 조금 더 소요되겠지만
몇가지 장점이 있습니다.
1) 자연치를 삭제하지 않아도 됩니다.
라미네이트는 크라운은 치아 표면 삭제가 필요합니다.

교정은 치아 삭제 없이
위치만 이동시키니까 자연치아를 그대로 보존할 수 있어요.
2. 전체 치열, 교합까지 개선할 수 있습니다.
단순히 앞니 공간만 메꾸는 것이 아니라
전체 치열과 교합이 조화롭게 맞춰집니다.
부정 교합을 가지고 있던 환자분들이라던가
어금니도 벌어져 있는 경우 같이 교정 가능하죠.

3. 발음 기능이 개선됩니다.
벌어진 앞니의 치명적인 단점 중에 하나가
발음이 새거나 어색할 수 있습니다.
벌어진 틈새로 공기가 빠져나가기 때문이죠.
치아 공간 닫힘이 발생하면 발음 개선에도 도움이 됩니다.
- 4. 상대적으로 긴 수명을 가지고 있습니다.
레진이나 보철 치료는 추후 문제가 생기면
교체가 필요할 수 있습니다.
교정은 재발될 가능성이 있긴 하지만
유지장치를 잘 끼고 관리를 잘하면
치료를 마무리했던 그 치열로 유지할 수 있습니다.
벌어진 앞니 치아 교정 방법은??
크게 3가지입니다.
| 1. 앞니만 벌어졌을 경우는 “부분 교정” |
| 2. 위아래 치열, 혀 습관, 턱뼈 문제가 동반되었을 경우 “전체 교정” |
| 3. 치아 크기가 작은 경우 ” 교정과 보철 치료 동시에 “ |
교정기 선택은 투명 교정, 철사 교정
모두 가능해요~
앞니 부분 교정이 추천되지 않을 때는
(전체 교정으로 진행)
앞니만 모으면 다시 벌어질 가능성이 높거나
어금니 쪽까지 전체적으로 공간 조정이 필요할 때입니다.

또한 치아가 벌어진 원인이
혀로 자꾸 치아를 밀어서 생긴 경우
습관 교정까지 병행하고
유지 장치를 제작하여 재발을 방지하여야합니다.

앞니가 몇개만 살짝 벌어졌다거나
어금니 교합에 문제가 없는 경우는 부분 교정으로 가능합니다.
이 경우 교정 기간도 짧아요.
단, 몇개 치아만 움직이는 것이다 보니
혀 습관이 개선된다거나
교합 문제는 해결되지 않습니다.
교정과 보철을 동시에 진행하는 3번째 치료방법
이 경우는 치아 크기가 작은 경우입니다.
교정으로는 사이즈를 키워주지 못하기 때문에
교정으로 최대한 공간을 닫고
남은 틈은 레진이나 보철 치료로 보강하는 방법이 되겠습니다.
이 경우 불만족 하였던 앞니 모양이나
색상도 어느정도 변화가 가능하기 때문에
기능 + 심미 두가지 모두 잡는 치료법이 되겠습니다.
단점은 비용이 되겠네요~
겉모습만 바꾸는 건 떼우기,
원인부터 해결하는 건 교정!
벌어진 치아, 예쁘게 메우고 끝낼지,
건강하고 오래 가게 근본부터 정리할지,
그 선택은 환자분의 입 안 상태에 달려 있어요!
아참,,, !
어떤 치료로 결정하시기 전에
왜? 벌어졌는지부터 점검해보세요.
조나단님도 벌어진 치아로 유명한데
검사해보니 치아가 1개 선천적 결손이라는 tv를 본 적 있어요~
치아가 부족하다보니 자연스럽게 공간이 생긴거라는…ㅠㅠ
원인이 파악되지 않으면
그 어떤 치료도 실패로 돌아갈 수 있으니까요.
앞니는 자신감과 관련이 되어있습니다.
환자분이 웃을 때 자신감을 얻을 수 있도록,
도움을 드리는 정보 전달자가 되겠습니다.
감사합니다!!