앞니 덧니, 교정은 싫고 시간은 없다면? 라미네이트로 해결한 사례
안녕하세요.
서울바르디치과 원장입니다.
“덧니 때문에 웃을 때마다
시선이 신경 쓰여요.”
앞니는 사람의 첫인상을 크게 좌우합니다.
그러다보니, 삐뚤어진 덧니때문에
웃을 때 마다 신경이 쓰일 수밖에 없습니다.
의외로 많은 분들이 덧니에 대한
고민을 가지고 계십니다.

교정을 하자니 기간이 너무 길고,
크라운은 치아를 많이 깎아야 하니
부담스러워 하시는 분들이 많습니다.
그래서인지 빠르게 심미 개선이 가능한
라미네이트에 대한 문의가 점점 늘고 있는데요,
오늘은 실제로 빠르게 덧니 개선이 가능했던
외국인 환자분의 사례를 통해
라미네이트 적용 가능 여부와 치료 과정을
자세히 말씀드리겠습니다.
<목차>
| 1. 앞니 덧니, 교정 말고 라미네이트로 가능할까? | ||
| 2. 앞니 덧니, 라미네이트로 해결한 실제 사례 |
1. 앞니 덧니, 교정 말고 라미네이트로 가능할까?
라미네이트는 치아 앞면에 얇은 세라믹을
붙이는 방식입니다.
네일팁 붙이는 것과 비슷하다고 생각하시면
이해가 쉽습니다.

교정까지는 원치 않지만 짧은 시간 안에 앞니를
개선하고 싶은 분들께 특히 잘 맞는 방법입니다.
하지만, 덧니가 있는 모든 케이스가
라미네이트가 가능한 것은 아닙니다.
라미네이트는 겉모습을 빠르게
바꾸는 데 매우 효과적이지만,
반대로 케이스 선택이 잘못되면
쉽게 떨어지거나, 깨질 수 있습니다.

특히 덧니는 치아가 겹쳐 있는 구조라
조금만 삭제량이 많아져도
신경이 예민해질 수 있고,
신경치료 가능성도 더욱 높아집니다.
그 결과,
예뻐지려고 한 라미네이트가
자꾸 문제를 일으킨다면
환자분 입장에서는
“라미네이트 괜히 했다..”
라는 실망감이 생길 수밖에 없습니다.

그래서 라미네이트 적용 케이스가 아니라면
환자분께서 아무리 요구하셔도
저희는 무조건 들어드리지 않습니다.
환자분 입장에서 서운한 생각이 드실 수 있지만,
치아를 문제없이
오랫동안 사용하셔야 하기때문에
사실대로 말씀드릴 수 밖에 없어요.
그렇다면 어떤 덧니가
라미네이트 가능한 케이스일까요?
다음 조건을 만족하면 비교적 안정적으로
라미네이트가 가능합니다.
- 덧니의 겹침 정도가 심하지 않을 때
- 치아 위치를 크게 이동시키지 않고도 형태 조정이 가능할 때
- 치아 삭제를 최소화해 신경치료 가능성을 낮출 수 있을 때
- 교정은 어렵고, 빠른 심미 개선이 필요한 경우
오늘 소개할 환자분은
이 조건에 잘 맞는 케이스였습니다.
2. 앞니 덧니,
라미네이트로 해결한 실제 사례

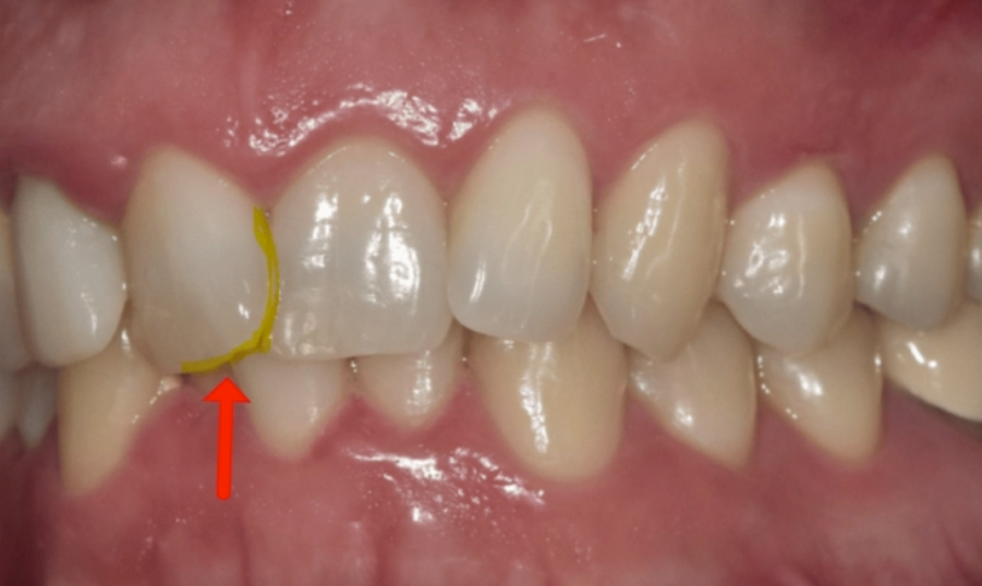
외국인 남자 환자분이셨고,
오른쪽 앞니가 왼쪽을 덮는 형태의 덧니였습니다.
웃을 때 한쪽 앞니만 톡 튀어나와 보이고,
전체 치아색도 누래 보여
오래전부터 스트레스가 컸다고 하셨습니다.

게다가 다음 달에 다시 해외로
출국해야 하는 일정이라
치료 기간이 긴 교정은 현실적으로 불가능했습니다.
그래서 “한 달 안에 가능한 방법”을 찾으셨고,
라미네이트 상담을 위해 내원하셨습니다.
최소 삭제가 가능한지 먼저 평가했습니다.

덧니는 구조적으로 겹쳐 있기 때문에
라미네이트를 하기 위해
치아를 어느 정도 다듬어야 합니다.
삭제량을 잘못 조절하면
시린 증상이나 신경치료 가능성이 높아질 수 있어
특히 해외에 계신 환자분에게는
치명적인 문제입니다.
최대한 삭제를 적게 해서
신경치료 없이 라미네이트를 완성할 수 있도록
하는 것이 관건이었습니다.
저희 병원은 원내 기공실을 운영하고 있어
환자분의 구강을 그대로 본뜬 모델을
기공사와 함께 보며
삭제량을 최소화할 수 있는지
유지력을 충분히 확보할 수 있는지
배열을 자연스럽게 만들 수 있는지
정밀하게 검토했습니다.
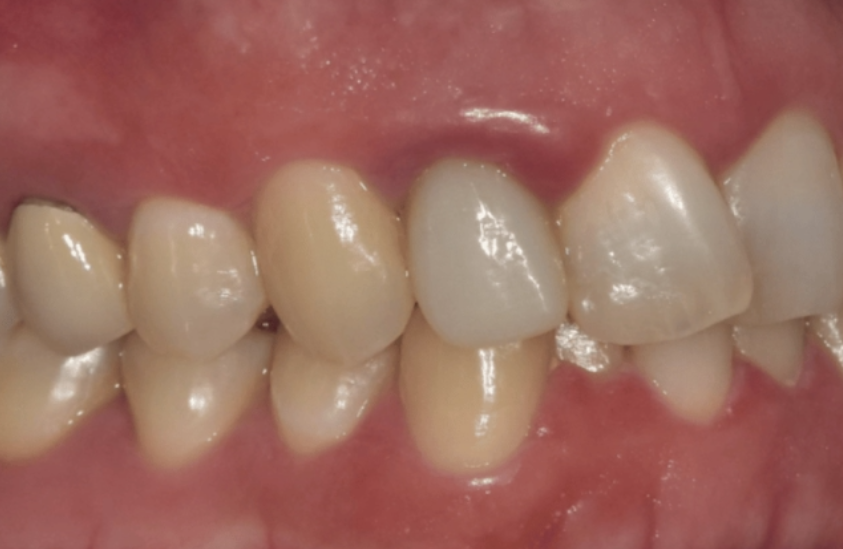
치아 삭제는 정말 최소한으로만 진행했습니다.
덧니가 겹친 부분만 선택적으로 다듬고,
나머지 부분은 최대한 보존했습니다.
외국인 환자분이라 라미네이트가 떨어지면
한국에 다시 들어오기 힘들다는 점을 고려해
더욱 신경 써서 유지력을 높이도록
꼼꼼히 확인했습니다.

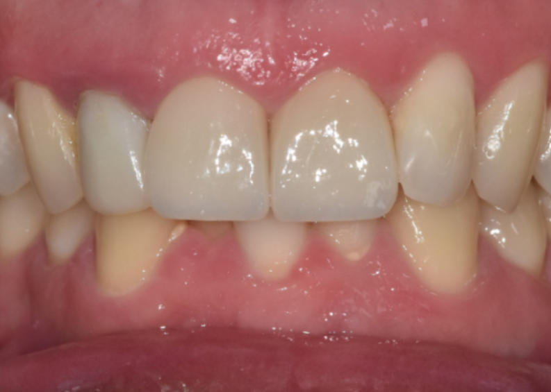
전체적으로 누렇게 보이는 색상을
환자분이 원하는 밝기 톤으로 조정하고
양쪽 앞니 길이와 각도를 미세 조절해
자연스러운 배열을 완성했습니다.
무엇보다 신경치료 없이,
한 달 안에 모든 치료를 완료할 수 있어서
다행이었습니다.
환자분께서도
고국에 돌아가기 전,
빠르게 완성되어 정말 다행이라고
말씀해 주셔서
더욱 뿌듯했습니다.

앞니 덧니는 교정 치료가 가장 이상적이지만,
시간이 부족하시거나
빠른 심미 개선을 원하신다면
라미네이트로도 해결이 가능합니다.
다만, 예쁘게 보이는 것만을 목표로 하기보다는
앞으로 평생 사용할 치아이기 때문에
정확한 진단과 세심한 치료 계획이 필수입니다.
앞니 덧니 때문에 고민하고 계시거나,
교정 없이 빠르게 개선하고 싶으시다면
편하게 내원해 주세요.
정확한 진단을 통해 환자분께
가장 안전하고 적합한 방법을 함께 찾아드리겠습니다.
감사합니다.