중장년 라미네이트, 70대도 가능한가요? 왜소치와 벌어진 앞니 해결 사례
안녕하세요.
서울바르디치과 원장입니다.
요즘은 나이가 들어도
“나를 어떻게 가꿀까”를 고민하는 분들이 정말 많습니다.
중장년 라미네이트, 70대도 가능한가요? 왜소치와 벌어진 앞니 해결 사례

머리 스타일을 바꾸고,
옷 스타일을 바꾸듯이
눈에 가장 먼저 보이는 앞니를
개선해 보려는 50~70대 환자분들이
눈에 띄게 늘었습니다.

중장년 라미네이트, 70대도 가능한가요? 왜소치와 벌어진 앞니 해결 사례
저희 치과에서 라미네이트를 받으신
환자분 연령대를 보면
20,30대가 절반 정도,
나머지 절반은 40대 이상 중장년층이었습니다.
그만큼
“치아 모양과 색만 달라져도
사람 인상이 크게 달라진다”는 걸
많은 분들이 직접 느끼고 계신 것 같습니다.
그래서인지 중장년층 환자분들도
라미네이트에 대한 문의를 요즘 많이 하십니다.
하지만 동시에 이런 말씀도 자주 하시는데요,
“이 나이에 라미네이트 해도 되나요?
치아 많이 깎는 건 아닌지 걱정돼요.”
오늘은 이런 고민을 덜어드리기 위해,
왜소치와 벌어진 앞니를
라미네이트로 어떻게 개선했는지
70대 환자분의 실제 치료 사례를 들어
말씀드리겠습니다.
중장년 라미네이트,
왜소치와 벌어진 앞니 해결한
70대 환자 실제 사례

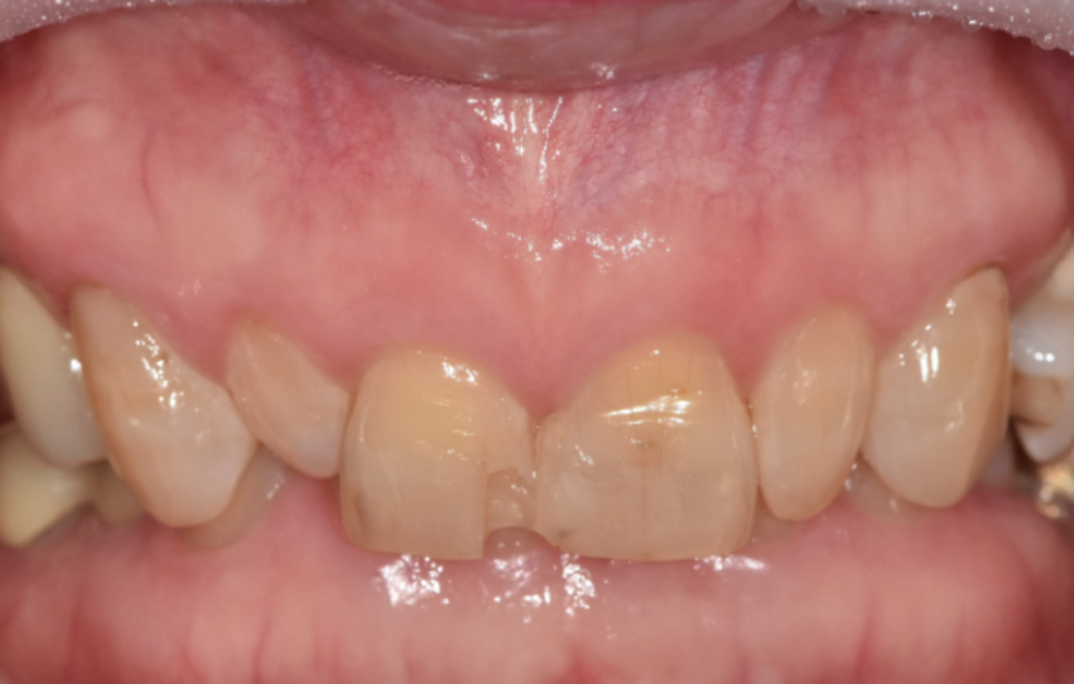
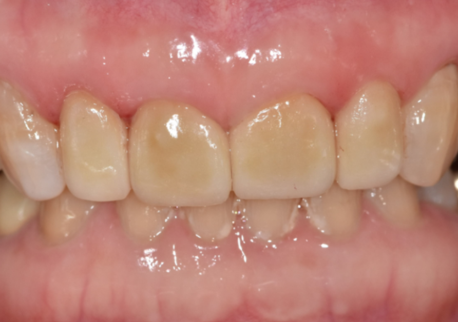
이 환자분은 70대 여성입니다.
젊을 때부터 앞니 사이가 벌어져 있었고
그 틈을 레진으로 메워 사용해 오셨다고 해요.

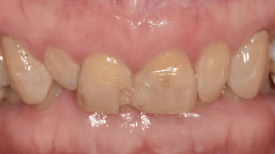
처음에는 괜찮았지만 나이가 들며
레진이 깨지고 떨어지는 일이 반복되자
“이번에는 제대로 고쳐보고 싶다”며 내원하셨습니다.
입안을 자세히 보니
앞니 사이를 메운 레진이 깨져 있었고,
그 양옆 작은 앞니가
다른 치아보다 눈에 띄게 작았습니다.

이렇게 주변 치아보다 유난히 작은 치아를
‘왜소치’라고 부릅니다.
왜소치는 크기가 작다 보니
그 주변으로 공간이 남기 쉽고,
결국 앞니 사이가 더 벌어져 보이는 원인이 됩니다.
여기에 또 하나의 문제가 있었습니다.
이 분은
윗니가 아랫니를 70~80% 정도 깊게 덮고 있는
과개교합을 가지고 계셨어요.

이렇게 깊게 물리는 고합의 경우,
아래 앞니 끝이 윗니 뒤쪽과 레진에
반복적으로 부딪힐 수밖에 없어요.

그러니 레진을 다시 메워도
조금 시간이 지나면
또 깨지고 떨어질 수밖에 없었던 거였죠.
많은 분들이
“그럼 교정으로 해결할 수 있지 않을까요?”
라고 물어보십니다.
반은 맞고 반은 틀립니다.
교정으로 벌어진 틈을 모으는 것은 가능합니다.
하지만 왜소치처럼
치아 자체가 작게 난 경우에는
교정만으로 치아 크기와 모양을 바꿀 수 없습니다.
교정은 치아의 “위치”를 바꾸는 치료이고,
라미네이트 같은 보철치료는
치아의 “크기와 모양”을 조절하는 치료이기 때문이죠.
이 환자분도 교정보다는
작은 앞니의 크기를 주변 치아와 맞추고,
앞니 사이 벌어짐과 깨지는 레진 문제를
함께 해결하는 방향이 필요했습니다.
그래서 앞니 라미네이트 치료를
계획했습니다.
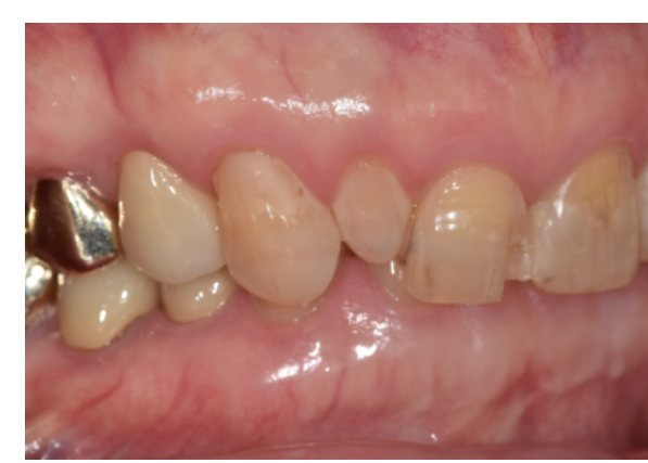
이런 과개교합은 라미네이트 치료를 진행할 때
파절 가능성을 최대한 줄이는 것이 가장 중요합니다.
그래서 치아를 많이 깎기보다는
필요한 만큼만 최소한으로 삭제하고,
그 안에서 라미네이트가
안정적으로 자리 잡을 수 있는 공간을 확보하는 것이 핵심입니다.
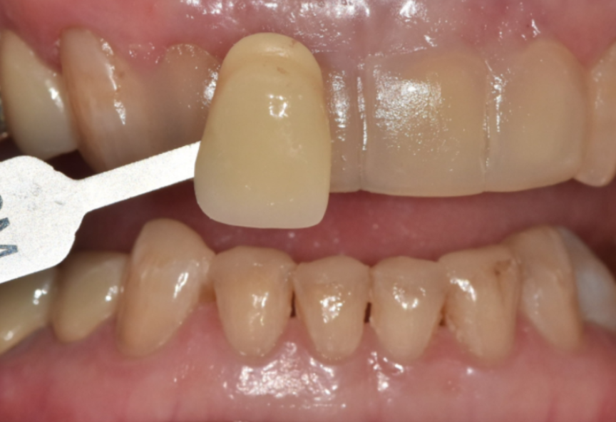
저희 치과는 원내 기공실을 운영하고 있어
라미네이트 보철을 외부 기공소로 보내지 않고
병원 안에서 직접 제작하고 있습니다.
그래서 진료실에서 본 실제 치아 상태와
기공 과정이 자연스럽게 이어집니다.
치료하는 의사가
기공 과정 전반에 직접 참여하면서
라미네이트의 두께, 형태, 길이,
그리고 색감과 투명도까지

환자분 얼굴과 기존 치아에 어울리도록
세밀하게 맞춰 갈 수 있습니다.
또 시적(끼워 보는 과정) 후
말할 때나 웃을 때 느낌을 바로 확인하고,
필요하면 그 자리에서 기공실과 상의해
조금 더 다듬어 드릴 수 있습니다.
이번 70대 환자분도
이 과정을 통해
과개교합에서 오는 힘을 분산시키면서도
왜소치와 벌어진 앞니를 자연스럽게 정리하는
맞춤 라미네이트를 완성할 수 있었습니다.

환자분께서도 이제 환하게 웃을 수 있다며
좋아하셨습니다.

나이가 들었다고 해서
앞니 때문에 느끼는 고민이 사라지는 건 아닙니다.
백세시대인 지금은
“그냥 이대로 살지 뭐” 하고 넘기기보다
오래된 콤플렉스를 천천히 해결해 보는 것도
좋은 선택이 될 수 있습니다.
혼자 걱정만 하지 마시고
편하게 한 번 상담받아보세요.
현재 상태를 정확히 설명드리고,
환자분께 맞는 현실적인 방법을
함께 차근차근 찾아드리겠습니다.
감사합니다.